Before & After Our Dental Work

A perfect example of teeth gaps fixed with composite bonding

teeth with gaps before veneers
teeth with gaps after veneers

Smile transformation with veneers

gaps in smile before veneers
gaps in smile after veneers

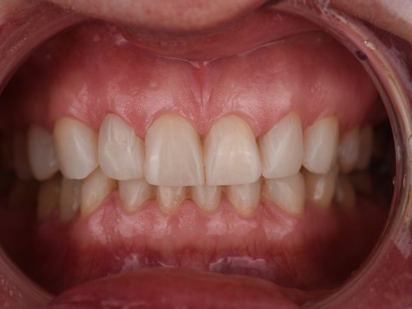
Excellent teeth and smile restoration with crowns

crooked smile before crowns
crooked smile after crowns

Discolouration and tooth sensitivity fix with veneers

tooth decay before veneers
tooth decay after veneers

Damaged teeth repair with composite bonding

composite bonding decay before
composite bonding decay after

From outdated, damaged and misshaped crowns, to a restored, state of the art, perfectly fitted smile

discolored teeth before crowns
discolored teeth after crowns

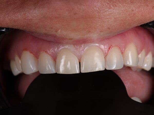
A happy patient with a new, perfectly aligned, wide smile - thanks to porcelain veneers

misshaped teeth before veneers
misshaped teeth after veneers

A fuller and straight bite created with composite bonding

composite bonding teeth before
composite bonding teeth after

Upper teeth repair with dental crowns

teeth stains before crowns
teeth stains after crowns

Bright and even smile with porcelain veneers

uneven smile before veneers
uneven smile after veneers

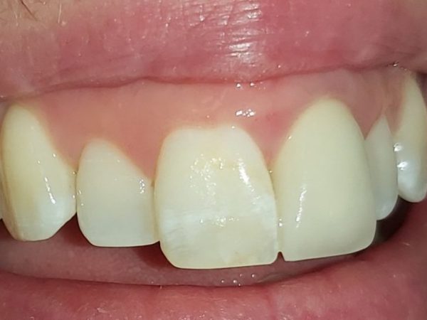
A cracked tooth repair with a dental crown fitting

chipped teeth before crowns
fix chipped teeth with crowns

Misshaped and poor aligned teeth fixed with composite bonding

composite bonding close up before
composite bonding close up after

A complete smile transformation with composite bonding

composite bonding teeth alignment before
composite bonding teeth alignment after

A narrow mouth widened with composite bonding

composite bonding before
why choose composite bonding

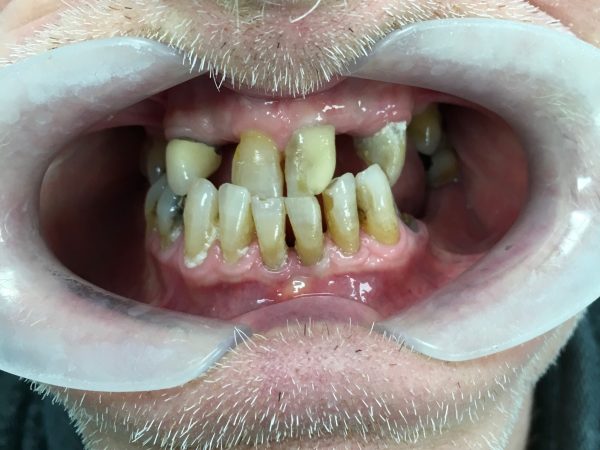
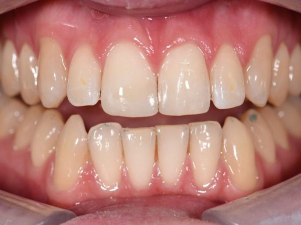
Upper full implants & lower crowns

upper full implant lower crown before
upper full implant lower crown after

A pristine smile created with composite bonding

composite bonding smile before
composite bonding near me

Gap between teeth closed with composite bonding

composite bonding before
composite bonding after

Tooth decay repaired with upper bridge implants

upper bridge implants before
upper bridge implants after

An excellent example of the internal tooth discolouration removal performed regularly by Dr Manousos Goneos.

Deep cavity repair by Dr Amir Sharifi.

Broken front tooth repaired with composite bonding by Dr Amir Sharifi.

Old cracked filling replaced with a highly aesthetic new filling by Dr Amir Sharifi.

Gum contouring and crowns by Dr Manousos Goneos.

Deep tooth cavity fully cleaned and restored with layers of composite by Dr Amir Sharifi.

A highly decayed and infected tooth restored resulting in a perfect aesthetic filling by Dr Amir Sharifi.

Severely defected and infected teeth restored back to health using crown inlays by Dr Amir Sharifi.

Close
Google Icon Facebook Icon My Reputation Icon

We're Rated 4.9 / 5

star