veneer services near me Lymington

Reliable Veneer Services in Lymington

Are you looking to improve the appearance of your teeth and achieve a beautiful smile? If so, veneer services in Lymington may be the perfect solution for you. Veneers are a popular cosmetic dental treatment that can transform your smile and boost your confidence. Explore the benefits of veneers and how they can enhance the appearance of your teeth.

Whether you’re a resident of Lymington or a business owner in the area, our experienced and highly trained team at Forestside delivers exceptional veneer services that can cater to your specific needs.

Enhance your confidence
Improve the shape of your mouth
Durable & stain resistant
Strengthen weak or damaged team
what are veneers

What Are Veneers?

Veneers are thin, custom-made shells that are bonded to the front surface of your teeth. They are typically made from porcelain or composite resin and are designed to match the colour and shape of your natural teeth. Veneers can be used to correct a variety of dental issues, including:

1. Discoloured Teeth

2. Chipped or Cracked Teeth

3. Uneven or Misaligned Teeth

4. Worn Down Teeth

Why Choose Forestside?

When considering veneers services in Lymington, it’s important to choose a reputable and experienced dental practice. Look for a provider that offers personalised treatments and has a track record of delivering excellent care and service. Reading positive reviews from satisfied patients can also give you confidence in your choice.

Here at Forestside Dental Practice, we are a trusted provider of veneers services in Lymington. We offer a range of cosmetic dentistry services, including dental crowns, bridges, dentures and composite bonding. Our team of experienced dentists will work closely with you to create a personalised treatment plan that meets your specific needs and goals.

Read Our Reviews

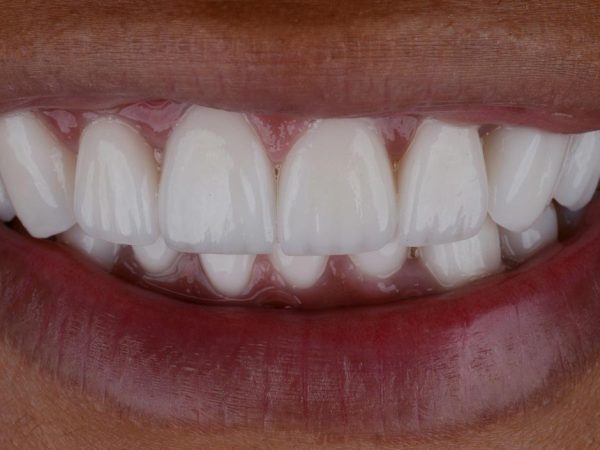
Before & After with Happy Customers

Take a look at the before and after shot of a local customer who was thrilled with the veneers they received from Forestside Dental.

BEFORE
AFTER

Before & After Veneer Work

Our veneers drastically improve your smile and self confidence. They come in a wide range of different colours and are invisible, so you won’t notice it. If you want to find out more about our veneers, look at our fees and pricing today or contact us.

View Pricing

The Simple Process

dental practice new forest

Our Customers Love Us

"The whole treatment from start to finish was that of total professionalism. I was made to feel relaxed and valued. My comfort was their prime concern. Having a full set of veneers can be life changing and I am utterly thrilled with them. I’ve had loads of lovely comments too so I absolutely recommend this practice." - Bridget Mclean

"Amir is excellent and always gives me clear, helpful advice about my teeth and what I need to do. Have had two fillings recently and was so impressed with his work. Made me feel at ease. The whole experience at Forestside is excellent, I would strongly recommend." - Craig Nelson

"I've recently had quite a lot of work done on my teeth at Forestside Dental Practice. Joanna and her team have been looking after me with great professionalism and care throughout this time. The health of my teeth was my primary concern, but my smile has definitely improved as a result! Thank you Joanna, Sarah and everyone at the practice!" - Aleksandra Burlinson

Frequently Asked Questions

How much do veneers cost?

Veneers are typically priced by tooth, with a small bit of leeway depending on the size and shape. You can find our cost for a single porcelain veneer on our fees and plans page, where you can cross reference with other cosmetic dentistry services that may be of interest. Once you’ve had a consultation with an expert in Dibden Purlieu, we can provide a full quote for the dental care.

What other cosmetic dentistry services do Forestside offer?

High aesthetic porcelain veneers are just one of an array of cosmetic services we offer to those throughout the New Forest and Southampton. We can also fit crowns and bridges, as well as complete whitening and composite bonding procedures to give your smile a new lease of life.

We are additionally specialists in implants, Invisalign and a catalogue of dental care services.

Where is Forestside Dental Practice based?

Forestside use state of the art equipment at a practice in Dibden Purlieu. As a result, we are situated on the outskirts of the New Forest and Southampton, catering to long standing customers from towns and areas throughout both. We also have people travel from Bournemouth, Portsmouth and Winchester for our veneers service, thanks to hassle free access to the main motorways and carriageways.

What is the difference between veneers and crowns?

The two services are largely similar, so it’s easy to confuse the two or to be unsure as to what is best for you. Typically, porcelain veneers are fitted to the front of the teeth, whereas crowns are placed over a tooth or any other dental implant that may exist. If you’re not certain which would be better for your cosmetic dentistry needs, you can explore our fees or are welcome to contact us directly.

Do veneer fittings hurt?

The majority of customers who use our veneer service comment that it is relatively, if not completely painless. Of course, this can vary from patient to patient, so be sure to let us know if you have any worries and we can discuss your options.

Close
Google Icon Facebook Icon My Reputation Icon

We're Rated 4.9 / 5

star